玉溪市中山医院通过精准化疗让晚期肺癌的李大爷实现肿瘤降期,使原本无法接受手术治疗的他获得根治性手术机会。
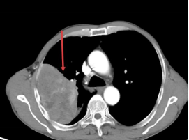
2024年12月,李大爷因持续“咳嗽、咳痰”就诊,经检查确诊为右肺腺癌,且病情已进展至IIIB期(cT4N2M0)(肺癌的临床分期,IIIB期属于中晚期,治疗难度较大)。当时,李大爷肺部肿瘤直径达11.5cm×7cm,同时伴随纵隔及肺门淋巴结肿大,不适合开展手术,治疗陷入僵局。
2025年2月,李大爷来到医院肿瘤科就诊,经全面评估后,诊疗团队为其定制了“化疗降低肿瘤分期+手术切除”的治疗方案。化疗期间,李大爷曾因个人原因中断治疗,诊疗团队发现后,多次与他进行沟通,详细解读化疗的合理性和连续性的重要性,在家属的全力配合与支持下,李大爷于2025年7月重新启动治疗。
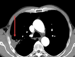
经过2周期的精准化疗,2025年8月26日,李大爷复查CT结果显示肺部肿瘤已缩小至4.3cm×2.3cm,疗效评估达到部分缓解(PR)。这一显著的“降期”效果,为李大爷赢得了宝贵的手术机会。“这个结果令人振奋。”主管医师严双丽表示,“通过我们精准的化疗方案,不仅有效控制了肿瘤进展,更重要的是实现了临床降期,为患者创造了根治性手术的条件。这充分体现了肿瘤内科在转化治疗中的关键作用。”

2025-2-25,肺部肿瘤巨大

2025-8-26,肿瘤明显缩小
为确保治疗的连续性和有效性,在明确李大爷具备接受手术的条件后,肿瘤科团队主动承担起桥梁纽带作用,与上级医院建立实时沟通机制,全面对接李大爷的诊疗细节、治疗反应及身体状况,保障手术前后治疗方案的无缝衔接。同时,团队提前为李大爷制定了涵盖辅助化疗、营养支持、疼痛管理等多维度的术后康复计划,构建起“术前精准治疗-术中顺畅衔接-术后规范康复”的全周期管理体系。
“肿瘤科的治疗是整个诊疗过程的核心环节。”肿瘤科主任张红强调,“我们的精准化疗为手术创造了条件,而术后的继续治疗更是确保疗效的关键。这种全程化管理模式,让患者获得了最佳的治疗效果。”
李大爷术后已返回医院继续接受后续治疗和康复指导,诊疗团队为其制定了详细的康复计划,包括辅助化疗、营养支持、疼痛管理等全方位措施。目前李大爷恢复良好,正在按计划进行后续治疗。“精准化疗助力肿瘤降期只是第一步”张红指出,“我们还要确保患者在获得手术机会后,能够得到持续的、规范的治疗”。这种全程化管理模式,体现了肿瘤科的专业担当。

医师简介


科室推介|肿瘤诊疗中心
肿瘤诊疗中心包括肿瘤内科、肿瘤介入、肿瘤放疗亚医疗专业组,能开展恶性肿瘤化疗、靶向、免疫治疗,恶性肿瘤姑息治疗及癌痛规范化治疗;引入中山大学附属第一医院及玉溪市人民医院专家开展肝癌、肺癌、胃癌、膀胱癌、宫颈癌、子宫内膜癌等血管、非血管微创介入治疗,实体肿瘤(冷冻、微波、无水酒精)消融治疗及恶性肿瘤放射治疗等技术。
门诊地址:门诊楼二楼23区肿瘤诊疗中心门诊
咨询电话:0877-8866336