腿肿、青筋凸起别硬扛!玉溪市中山医院下肢CTV检查,为静脉健康精准“把脉”
2026-03-18
阅读全文
玉溪市中山医院CTU检查为泌尿系统疾病精准“画像”
2026-02-27
阅读全文
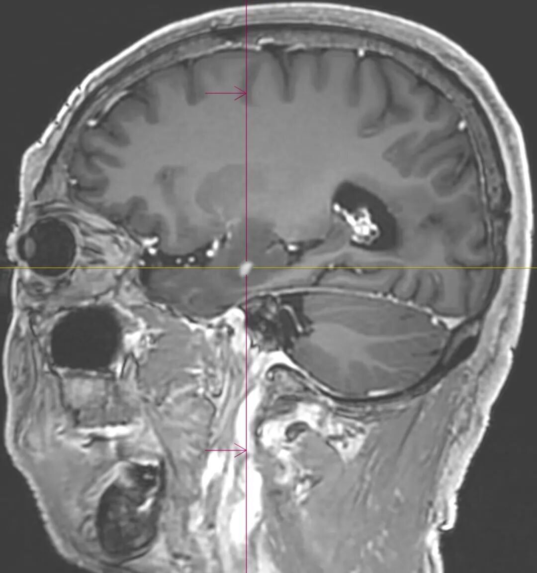
ASL技术无创成像,让脑内血流“看得见”
你知道吗?我们的大脑虽然只占体重的2%左右,但它可是个“血液大户”,接收着人体约15%到20%的心脏输出血量。一旦大脑的血流出现异常,麻烦就来了。许多神经疾病,如中风、痴呆、肿瘤等,几乎都会伴随着血流的异常变化。所以,了解大脑的血流情况,对于发现和治疗这些神经疾病至关重要。玉溪市中山医院医学影像科在中山大学附属第一医院驻岗专家张朝晖教授的带领下,成功开展颅脑动脉自旋标记(Arterial Spin Labeling, ASL)检...
2025-12-25
阅读全文
中大专家坐镇|玉溪中山医院开展3D磁共振扫描,精准找病灶,手术更安心
在现代医学影像技术的浪潮中,磁共振成像(MRI)以无辐射、高软组织分辨力、多参数成像的独特优势,成为疾病诊断的核心工具之一。而磁共振3D扫描技术,更以其立体成像的优势受到关注——它能为人体内部病变区域构建清晰的三维图像,让病灶细节无所遁形。如今,玉溪市中山医院医学影像科在中山大学附属第一医院派驻专家张朝晖教授的领衔下,已熟练开展多部位磁共振3D扫描技术,将这项前沿技术转化为精准诊断与治疗的“硬核支撑”...
2025-12-25
阅读全文
捕捉代谢信号,助力颅脑疾病精准诊断 | 玉溪市中山医院医学影像科成功开展颅脑磁共振波谱(MRS)检查
做过磁共振(Magnetic Resonance imaging,MRI)检查的朋友,一定对它拍出的身体“内部照片”印象深刻。但你可能不知道,玉溪市中山医院的磁共振设备里,还藏着一项更“神奇”的技术——磁共振波谱(Magnetic Resonance Spectroscopy,MRS)。它就像一台“化学显微镜”,能帮医生看透组织里的分子变化,尤其是在大脑健康检查中,发挥着常规MRI无法替代的作用。MRS和平时做的MRI,到底不一样在哪?平时做MRI,就像给身体器官拍“...
2025-12-25
阅读全文
钼靶X线摄影:乳腺健康的“前线侦察兵”,火眼金睛不放过任何隐患!
乳腺癌可是女性健康头号敌人之一,发病率也在逐年上涨,想要有效降低它的威胁,关键在于早发现、早诊断、早规范治疗。现在,玉溪市中山医院医学影像科重磅引进了联影uMammo数字化乳腺X线摄影机,借助先进成像技术,为揪出乳腺病变提供强大火力支援!乳腺钼靶X线摄影的闪亮优势1.操作超便捷:全程检查只需10分钟左右,快得很!2.辐射温柔不伤身:剂量超低,安全性杠杠的!3.火眼金睛找钙化:对微小钙化灶识别能力超群,是早期诊...
2025-12-25
阅读全文
