玉溪市中山医院肿瘤诊疗中心成功开展一项针对晚期肺癌多发转移的精准介入治疗:不仅为一位历经传统治疗失败的72岁患者实施支气管动脉化疗栓塞术(BACE)联合肝动脉化疗栓塞术,实现了病情的有效逆转,也为国庆节的到来献上一份特殊的礼物。
72岁的毕女士在2023年10月被确诊为肺癌并骨转移。确诊后她接受了标准的一线治疗方案,并在病情稳定后进行了维持免疫治疗,延缓肿瘤进展。然而2025年3月,复查发现其肺原发病灶增大,并出现肝转移,提示疾病再次进展,传统治疗手段难以有效控制病情。经朋友介绍后,毕女士在家人的陪同下来到玉溪市中山医院肿瘤诊疗中心就诊。
肿瘤诊疗中心主任张红了解毕女士病情后,迅速启动多学科会诊。肿瘤诊疗中心、介入医学科、医学影像科等科室专家共同分析患者病史、治疗反应及影像数据。经过深入讨论,团队认为,在全身治疗基础上,有必要对肺部原发灶进行局部强化干预。
“当全身治疗效果有限时,局部介入治疗能够发挥重要作用。”张红主任解释道,“我们为患者选择的支气管动脉化疗栓塞术(BACE),是一种精准的介入治疗方式,它通过导管直接将高浓度化疗药灌注到肿瘤供血动脉,同时栓塞血管,既能‘毒死’肿瘤,又能‘饿死’肿瘤,实现双重打击。”
2025年3月17日,肿瘤诊疗中心团队首次为毕女士成功实施BACE治疗。术后患者病情暂时稳定,但5月10日复查显示肺部原发病灶稳定,肝脏转移病灶再次增大。
面对病情反复,团队没有放弃,果断升级治疗方案,决定同期施行BACE联合肝动脉化疗栓塞术,继续强化局部控制。“对于这类晚期患者,局部介入的优势在于能够高效、低毒地控制关键病灶。”介入医学科主任杨亚平说,“BACE联合肝动脉栓塞这类技术既能提高肿瘤部位的药物浓度,又减少了全身副作用,为后续治疗创造了条件。”
令人鼓舞的是,治疗一个月后复查显示,毕女士肺部和肝脏的肿瘤明显缩小,病情得到有效控制,生活质量显著改善。出院时,毕女士激动地说:“本来以为病情已经没希望了,是中山医院的专家们没放弃我,一次次调整方案,现在我不仅不怎么难受了,还能正常生活,真的太感谢他们了!

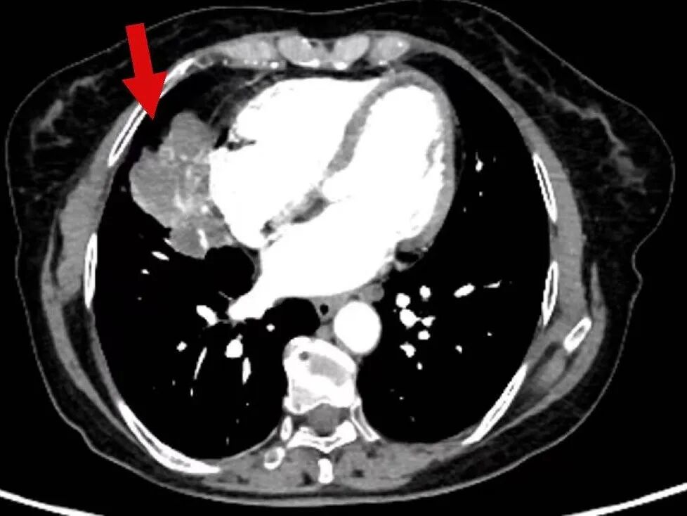
2025-03-12

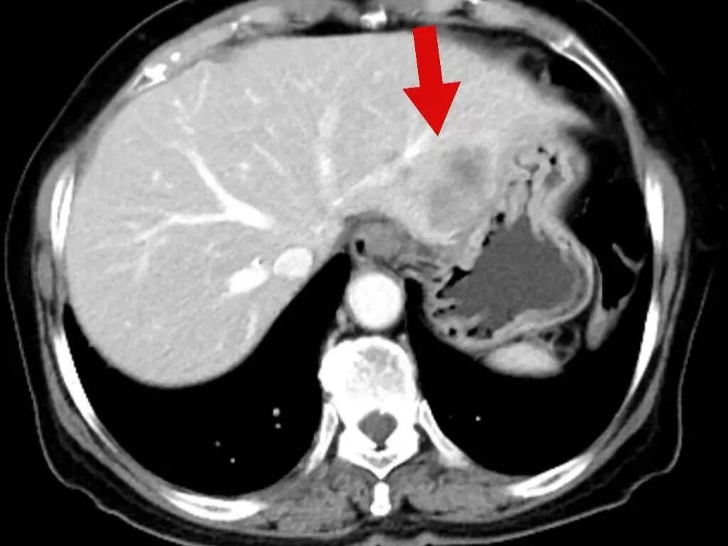
2025-08-21

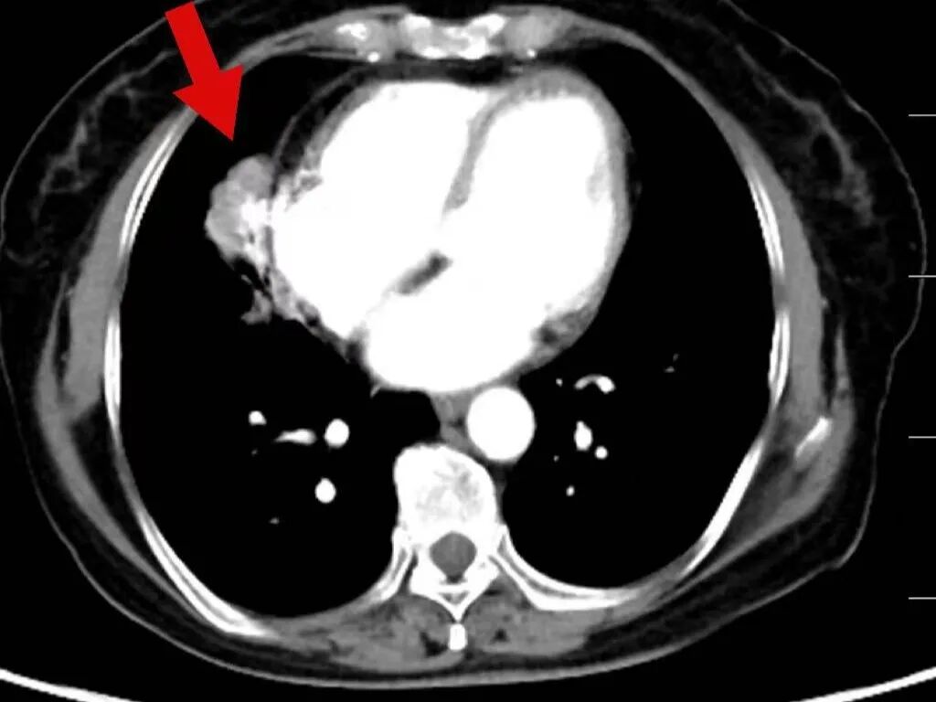
2025-05-30

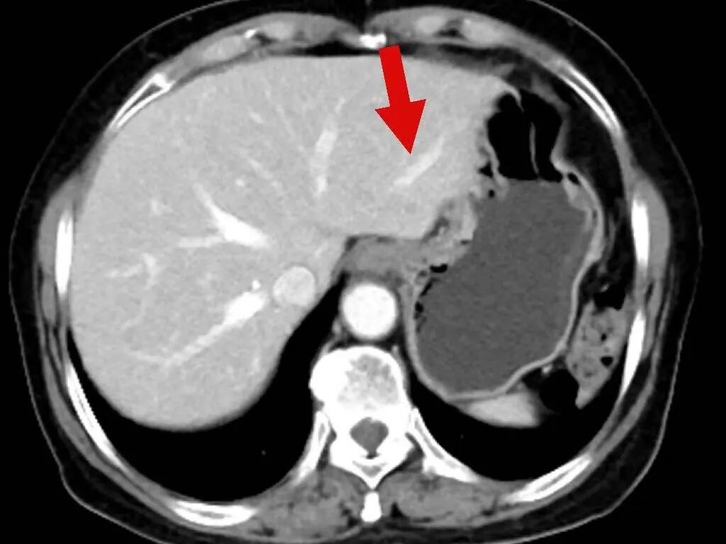
2025-08-21
在玉溪市中山医院肿瘤诊疗中心治疗后,肿瘤在明显缩小
从初诊时精准的病情评估,到治疗过程中敢于突破传统的方案决策,再到介入手术中的精细操作与术后密切随访,每一个环节都凝聚着多学科专家团队的专业智慧与人文关怀。未来,玉溪市中山医院将继续秉持“以患者为中心”的服务理念,持续整合多学科诊疗资源,不断探索肿瘤精准治疗新路径,为更多患者点亮生命希望之光。