骨外科专家张锡光主刀丨一高危复杂髋关节病例在玉溪市中山医院成功救治

来源:原创
作者:蔡志荣
点击数:
发布时间:2025-12-30

一位病情复杂的股骨颈骨折患者在玉溪市中山医院获得成功救治。玉溪市中山医院骨外科专家、副院长、博士生导师、云南省“兴滇英才支持计划”医疗卫生人才张锡光为该患者主刀,并带领医院多学科团队紧密协作共同完成手术。患者术后不到48小时即可下床独立行走,最终顺利康复出院。

患者术前、术后CT

62岁的杨女士

在家中不慎跌倒致右髋部严重损伤

紧急收治于玉溪市中山医院

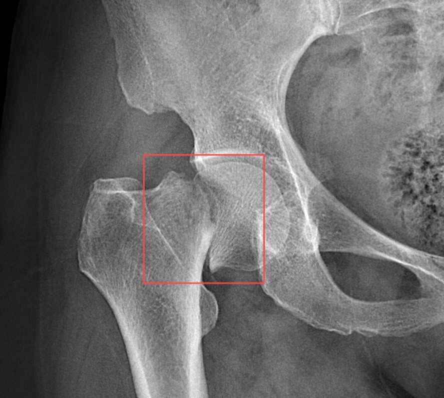
入院查体显示患者存在显著活动障碍,无法自主站立及行走。创伤中心(骨科)接诊后,确诊为右股骨颈骨折(Garden IV型),鉴于其病情复杂程度较高,立即启动包含创伤中心、麻醉科、心内科、综合内科、介入手术室等相关科室的多学科联合会诊(MDT)。医院副院长、云南省“兴滇英才支持计划”医疗卫生人才张锡光教授作为骨外科首席专家,全程参与病例研讨并细致听取诊疗汇报。

张锡光教授带领创伤中心(骨科)团队随即组织专项床旁查房。经系统查体及辅助检查综合研判,发现患者除原发骨折外,右下肢深隐静脉血栓,同时合并I型呼吸衰竭、肺动脉高压及窦性心动过缓等多系统危重症状。经多维度评估,该病例被列为围术期极高危患者,存在重大手术风险。

面对这一危及老年患者生命质量的严峻挑战,张锡光经过系统评估患者年龄及生理特征后明确指出,患者所患右股骨颈骨折(Garden IV型,属极高移位型骨折),若采取保守治疗或常规内固定手术,不仅存在骨折端难以愈合、股骨头血供中断性坏死的风险,更将因长期卧床导致肌肉系统进行性萎缩、骨密度加速流失、关节活动度永久性受限等器质性损害。尤其值得注意的是,继发性肺部多重耐药菌感染、复杂性尿路感染、心功能代偿失调以及下肢深隐静脉血栓进展为致命性肺栓塞等风险,将使患者陷入多系统功能衰退的恶性循环。实施精准的关节置换术实为打破困局的关键所在,可使患者在术后48小时内实现保护性负重训练,最大限度恢复运动功能并阻断并发症链式反应。

随后,张锡光带领MDT联合会诊团队再次针对患者病情及诊疗方案进行认真研究,反复分析讨论,确定由张锡光主刀,创伤中心副主任蔡志荣协助,为患者实施全髋关节置换手术;其他相关科室则为患者可能出现的突发情况做好相应准备。

无影灯下,张锡光以精确至毫厘的动作实施着手术操作。医疗团队在默契协作中形成精密的工作闭环,每个环节都如齿轮啮合般严丝合缝。基于患者特殊的身体状况,张锡光精准把握手术节奏,凭借行云流水般的手术技法,仅用半小时便完成创口仅8cm大小的微创手术,全程零输血的操作既保障了患者机体代偿能力,更赢得关键性康复窗口期。术后次日清晨,杨女士已能借助助行器完成自主移行训练。康复医学科团队更创新性构建起三管齐下的复健方案,涵盖运动功能重塑、营养代谢优化及心理韧性建设等多维度的精准干预,用医学专业与温暖人文编织起全周期的康复守护网。

患者术后第二天在助行器辅助下行走

张锡光表示,持续提升医院在疑难重症诊疗和急危重症抢救方面的核心能力,深入推进多学科协作机制的优势整合,矢志不渝地精进医疗技术水平和临床服务能力,为患者提供更加优质、精准、高效的全程医疗服务,是玉溪市中山医院建设省级重症区域医疗中心的重点。医院将不断完善和改进医疗流程,提升医疗质量,全方位筑牢人民群众生命健康的坚实防线。