骨科曾润华、韩振宏获患者赞誉

来源:原创
作者:杨晶
点击数:
发布时间:2025-12-30

近日,玉溪市中山医院骨科收到患者夏先生送来的一面锦旗,上书“医德高尚,医术精湛”,表达对骨科副主任医师曾润华、住院医师韩振宏的诚挚感谢。

‌精准施治,护航患者康复之路

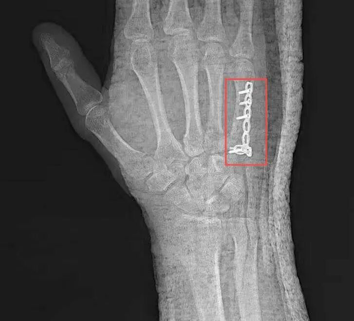
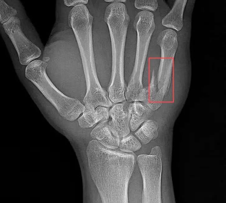
2025年3月8日,夏先生因意外受伤前往玉溪市中山医院骨科就诊,经详细检查会诊,诊断夏先生为右手第五掌骨骨折。骨科团队迅速为其制定个性化治疗方案,并于3月13日成功实施“掌骨骨折切开复位钢板内固定术”,手术由曾润华与韩振宏两位医生主刀。凭借丰富的临床经验与精湛的微创技术,两位医生顺利完成手术。术后,夏先生恢复良好,疼痛明显减轻。同时,医护人员每日密切监测夏先生病情、耐心指导其进行康复训练,夏先生手部功能逐步恢复,于3月17日顺利出院。

术前患者右手第五掌骨骨折

术后患者右手第五掌骨处固定复位钢板

医患同心,共筑和谐诊疗桥梁

面对患者的赞誉,创伤中心副主任蔡志荣表示:“锦旗是患者对医护工作的肯定,更是激励我们不断进步的动力。骨科始终秉持‘以患者为中心’的服务理念,将技术提升与人文关怀并重,为每一位患者提供精准、安全、有温度的医疗服务。”近年来,玉溪市中山医院骨科不断引入先进技术,优化诊疗流程,在创伤骨科、关节疾病治疗等领域积累了良好口碑。

一面锦旗,承载着患者对医护人员的信任与感激;一份责任,诠释着医者救死扶伤的初心与使命。未来,玉溪市中山医院骨科将不断提高诊疗服务能力,守护患者健康,传递医者温度,助力更多创伤患者康复。